TÜBINGEN. Am Uniklinikum Tübingen führte die präklinische Studie unter Leitung von Dr. Daniel Dauch und Professor Lars Zender, Ärztlicher Direktor der Medizinischen Onkologie und Pneumologie, zu äußerst positiven Ergebnissen. Die Forschergruppen verfolgten einen neuen Therapieansatz, den sie als »induzierte Lipotoxizität« bezeichnen und der darauf abzielt, Therapieresistenzen beim Leberzellkarzinom zu überwinden. Die neue Studie mit Originaltitel »LXRα activation and Raf inhibition trigger lethal lipotoxicity in liver cancer« ist im renommierten Wissenschaftsjournal »Nature Cancer« erschienen.
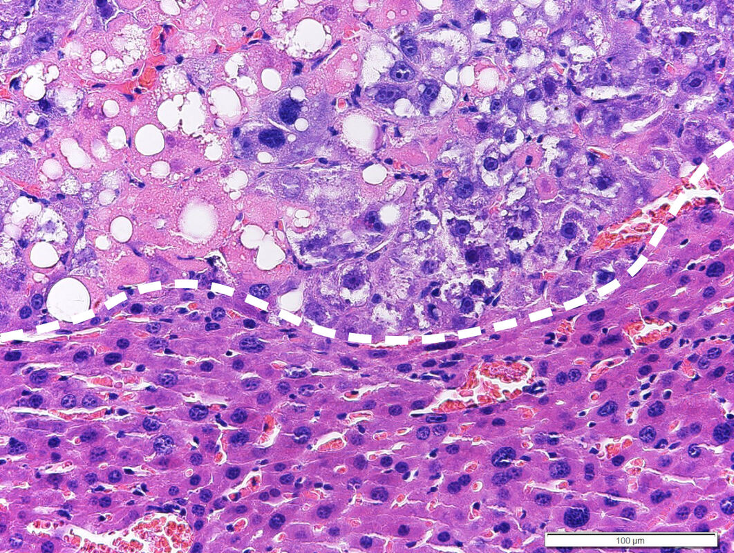
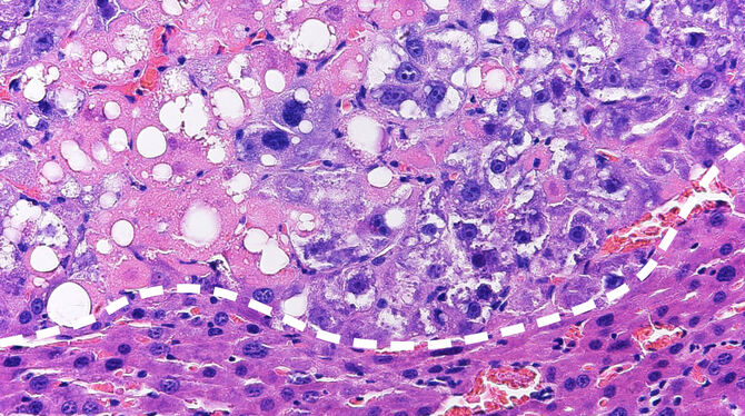
Beim neuen Ansatz wird therapeutisch in den Fettstoffwechsel der Tumorzellen eingegriffen. Durch Aktivierung des sogenannten LXR-Proteins kommt es zur Steigerung der Fettsäuresynthese. Diese kann zunächst von der Tumorzelle toleriert werden, weil anfallende gesättigte Fettsäuren (aus der Ernährungsmedizin auch als schlechte Fettsäuren bekannt) kontinuierlich durch ein Enzym zu ungesättigten (guten) Fettsäuren umgewandelt werden. Wird jedoch gleichzeitig ein zweites Protein, die sogenannte Raf-1 Kinase, gehemmt, so kommt es in der Tumorzelle zu einer Anreicherung von gesättigten Fettsäuren, welche von der Tumorzelle nicht toleriert werden kann und zum Zelltod der Tumorzelle führt. Von besonderer Bedeutung ist, dass das neue Therapiekonzept eine starke Wirksamkeit gegen Leberkrebs hat, welcher durch Leberverfettung (NASH) hervorgerufen wird. Klinische Studien haben gezeigt, dass diese sogenannten NASH-HCCs mit den derzeitigen zielgerichteten oder Immuntherapien nur schwer zu beherrschen sind.
Mit den vielversprechenden präklinischen Daten blickt Professor Zender hoffnungsvoll in die Zukunft: »Leberkrebs ist bereits ein globales Problem und die Inzidenz wird durch Fettlebererkrankungen in den nächsten Dekaden weiter ansteigen. Unser neues Therapieverfahren muss jetzt bis zur klinischen Anwendung weiterentwickelt und nachfolgend in einer klinischen Studie getestet werden.«
Tübingen als idealer Standort
Dr. Daniel Dauch betont, dass Tübingen der ideale Standort ist, um das neuartige Therapieverfahren zu entwickeln: »Durch das starke Umfeld mit internationaler Krebsforschung im onkologischen Exzellenzcluster iFIT und der Benennung Tübingens als Standort im Nationalen Zentrum für Tumorerkrankungen (NCT) liegen optimale Bedingungen für translationale Krebsforschung und Testung neuer Therapieverfahren im Rahmen früher klinischer Studien vor.«
Das Hepatozelluläre Karzinom (HCC) ist für 85 bis 90 Prozent aller Fälle von primärem Leberkrebs verantwortlich und stellt weltweit eine der häufigsten krebsbedingten Todesursachen dar (mit mehr als 750 000 Todesfällen pro Jahr). (ukt)

